Микропрепарат костного мозга при остром миелобластном лейкозе

Микропрепарат костного мозга при остром миелобластном лейкозе
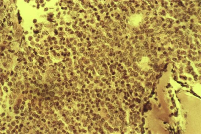
Рис. 2. Микропрепарат костного мозга при остром миелобластном лейкозе: диффузная лейкозная инфильтрация. Окраска гематоксилином и эозином; ´400.