Электронограмма кардиомиоцита

Электронограмма кардиомиоцита

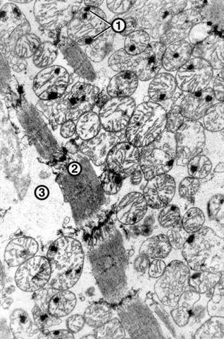
Рис. 4. Электронограмма кардиомиоцита (´12 000) с необратимыми повреждениями органелл в зоне ишемии: 1 — электронно-плотные включения кальция в митохондриях с разрушенными кристами; 2 — лизис миофибрилл; 3 — отек цитоплазмы, отсутствие гликогена.


Перейти к статье «Инфаркт миокарда»