
|
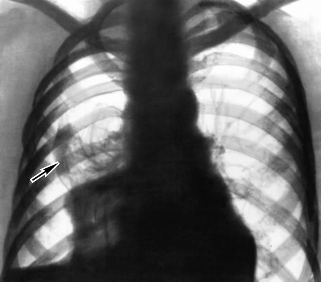
Рис. 3. Рентгенограмма органов грудной клетки при правостороннем гемопневмотораксе у больного раком легкого: правое легкое коллабировано (указано стрелкой), оставшуюся часть правой половины грудной полости занимает зона просветления без легочного рисунка (скопление воздуха) и затенение с горизонтальной верхней границей (кровь). |