Микропрепараты некоторых опухолей забрюшинного пространства: ганглионейробластома

Микропрепараты некоторых опухолей забрюшинного пространства: ганглионейробластома
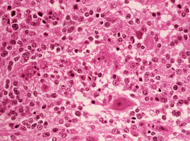
Рис. 6. Микропрепараты некоторых опухолей забрюшинного пространства: ганглионейробластома; окраска гематоксилином и эозином; ´250.