Рентгенограмма органов грудной клетки больного

Рентгенограмма органов грудной клетки больного
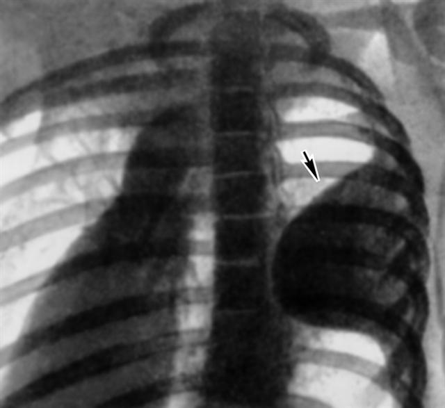
Рис. 5. Рентгенограмма органов грудной клетки больного с осумкованным левосторонним пристеночным плевритом (левая косая проекция): к грудной стенке прилежит интенсивная тень выпота (указана стрелкой).