Рентгенограмма среднегрудного отдела позвоночника

Рентгенограмма среднегрудного отдела позвоночника

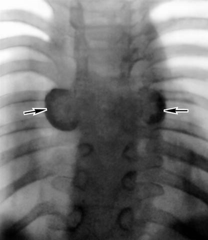
Рис. 3. Рентгенограмма среднегрудного отдела позвоночника при туберкулезном спондилите (переднезадняя проекция): позвоночник деформирован, с обеих сторон к нему прилежат шаровидные натечные абсцессы (указаны стрелками).


Перейти к статье «Туберкулёз внелёгочный»