Париетограмма желудка при инфильтративном раке малой кривизны

Париетограмма желудка при инфильтративном раке малой кривизны

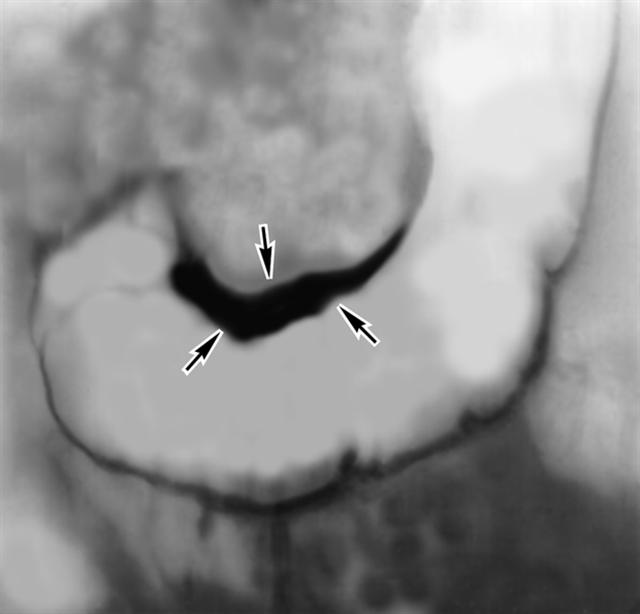
Рис. б). Париетограмма желудка при инфильтративном раке малой кривизны: толщина пораженного участка (указан стрелками) достигает 10—15 мм и более.


Перейти к статье «Париетография»