Холангиограммы больного со стриктурой общего желчного протока

Холангиограммы больного со стриктурой общего желчного протока
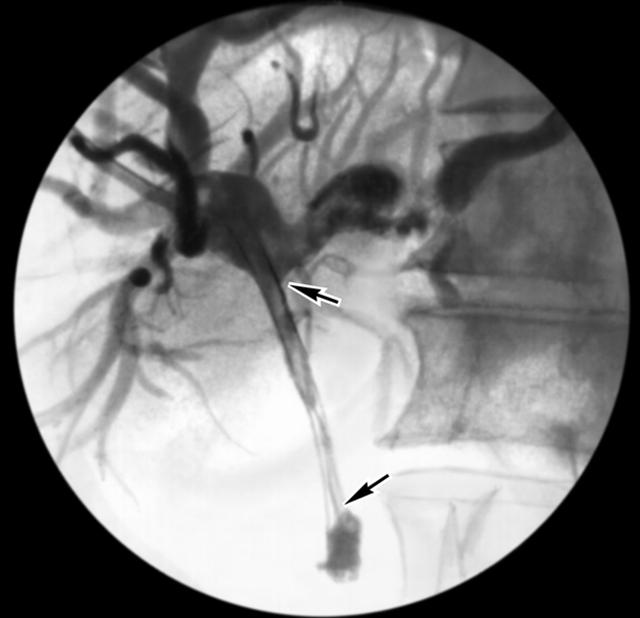
Рис. 2б). Холангиограммы больного со стриктурой общего желчного протока: после дилатации общего желчного протока в него введен пластмассовый эндопротез (указан стрелками).