Микропрепарат стенки червеобразного отростка при флегмонозном аппендиците

Микропрепарат стенки червеобразного отростка при флегмонозном аппендиците
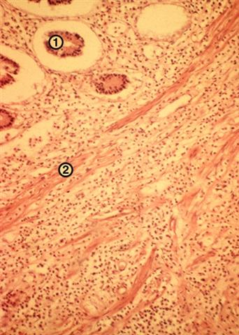
Рис. 1. Микропрепарат стенки червеобразного отростка при флегмонозном аппендиците: 1 — слизистая оболочка отростка, 2 — мышечная его оболочка, пронизанные густыми лейкоцитарными инфильтратами. Окраска гематоксилином и эозином; х 80.