Рентгенограмма органов грудной полости больного с эмфиземой легких и хроническими легочным сердцем

Рентгенограмма органов грудной полости больного с эмфиземой легких и хроническими легочным сердцем
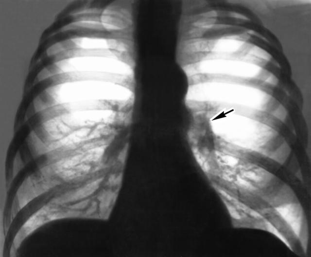
Рис. 4. Рентгенограмма органов грудной полости больного с эмфиземой легких и хроническими легочным сердцем (прямая проекция): сердце имеет относительно небольшие размеры, дуга легочного конуса (указана стрелкой) выбухает, корни расширены за счет крупных ветвей легочных артерий, периферический сосудистый рисунок легких обеднен.