
|
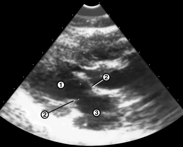
Рис. 2б). Эхокардиограмма при рестриктивной кардиомиопатии — незначительное расширение полости левого желудочка, не соответствующее степени утолщения и деформации створок митрального клапана. 1 — полость левого желудочка; 2 — митральный клапан; 3 — левое предсердие. |