Рентгенограмма нижнегрудного отдела позвоночника при переломовывихе

Рентгенограмма нижнегрудного отдела позвоночника при переломовывихе

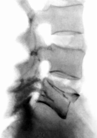
Рис. 9. Рентгенограмма нижнегрудного отдела позвоночника (боковая проекция) при переломовывихе.


Перейти к статье «Позвоночник»