Рентгенограмма нижних конечностей ребенка

Рентгенограмма нижних конечностей ребенка
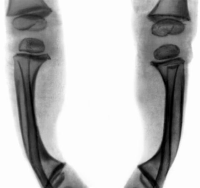
Рис. 7. Рентгенограмма нижних конечностей ребенка 1 года 4 месяцев: типичная рахитическая деформация большеберцовых костей.