Фистулограмма неполного наружного желчного свища

Фистулограмма неполного наружного желчного свища
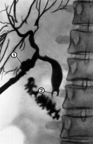
Рис. 1. Фистулограмма неполного наружного желчного свища: 1 — свищевой канал, контрастированный через дренажную трубку; 2 — камень в общем желчном протоке.