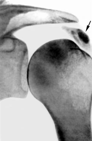
Ретгенограмма плечевого сустава при кальцифицирующем бурсите
Рис. 2. Ретгенограмма плечевого сустава (прямая проекция) при кальцифицирующем бурсите: кальцинат в области сухожилия надостной мышцы указан стрелкой.
Перейти к статье «
Ревматические заболевания околосуставных мягких тканей
»