Рентгенограмма грудной клетки больного с декомпенсированным митральным стенозом

Рентгенограмма грудной клетки больного с декомпенсированным митральным стенозом

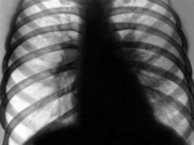
Рис. 11а). Рентгенограмма грудной клетки больного с декомпенсированным митральным стенозом: до операции комиссуротомии (резко выражен застой в легких).


Перейти к статье «Пороки сердца приобретённые»