Электронограмма ультратонкого среза пневмококка, образующего капсулу

Электронограмма ультратонкого среза пневмококка, образующего капсулу
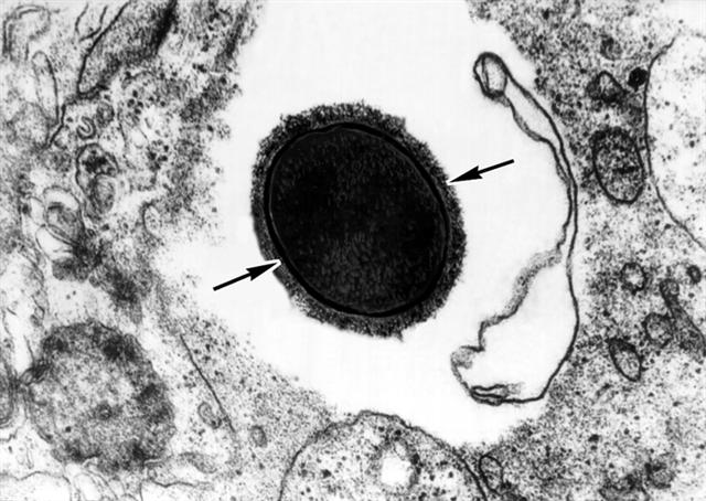
Рис. 11. Электронограмма ультратонкого среза пневмококка, образующего капсулу (указано стрелками); х 32 000.