Электронограмма участка гигантской многоядерной клетки инородных тел

Электронограмма участка гигантской многоядерной клетки инородных тел

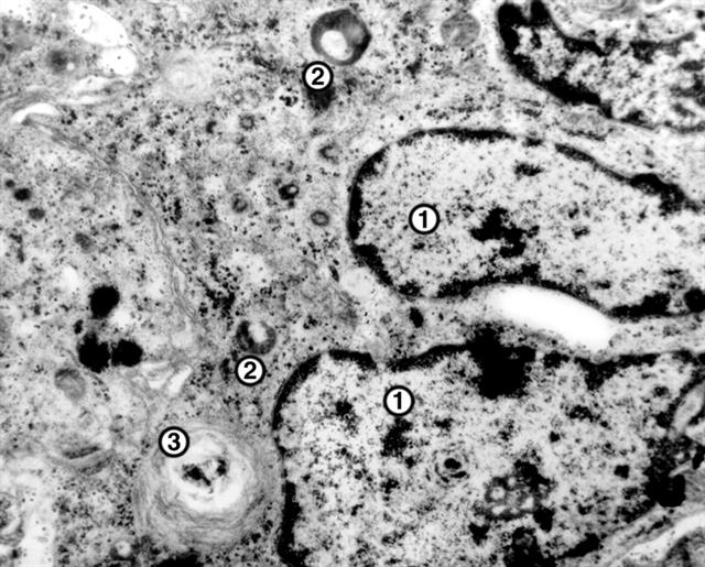
Рис. 1. Электронограмма участка гигантской многоядерной клетки инородных тел: 1 — ядра, входящие в состав одной клетки; 2 — лизосомы; 3 — фагосомы; ´15000.


Перейти к статье «Система мононуклеарных фагоцитов»