Микропрепарат участков плаценты с гемодинамическими нарушениями при доношенной беременности

Микропрепарат участков плаценты с гемодинамическими нарушениями при доношенной беременности
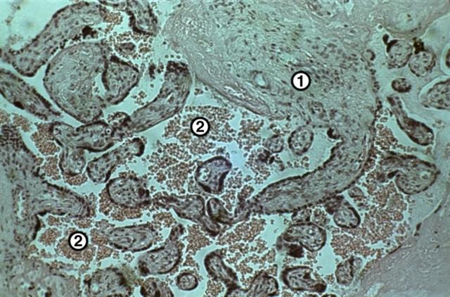
Рис. 3а). Микропрепарат участков плаценты с гемодинамическими нарушениями при доношенной беременности: кровоизлияния в межворсинчатое пространство (1 — ворсины плаценты разного калибра, 2 — скопления эритроцитов в межворсинчатом пространстве); ´100.