Гистеросальпингограмма

Гистеросальпингограмма

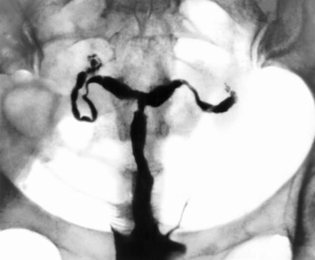
Рис. 16. Гистеросальпингограмма при туберкулезном сальпингите и эндометрите: полость матки деформирована (имеет форму трилистника), маточные трубы ригидны, в их дистальных отделах видны негомогенные тени («ватные тампоны»).


Перейти к статье «Туберкулёз внелёгочный»