Микропрепарат почки при остром серозном пиелонефрите

Микропрепарат почки при остром серозном пиелонефрите

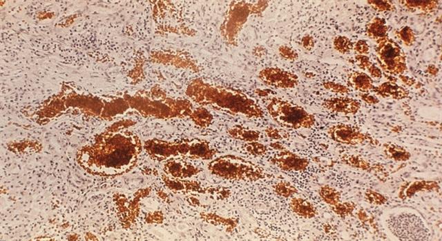
Рис. 1. Микропрепарат почки при остром серозном пиелонефрите: гиперемия микроциркуляторного русла, расширенные вены заполнены окрашенными в бурый цвет эритроцитами; окраска по Лепене; ´80.


Перейти к статье «Пиелонефрит»