Микропрепарат костного мозга при остром мегакариобластном лейкозе

Микропрепарат костного мозга при остром мегакариобластном лейкозе
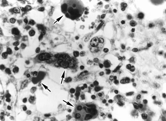
Рис. 4. Микропрепарат костного мозга при остром мегакариобластном лейкозе: стрелками указаны скопления атипичных мегакариоцитов. Окраска гематоксилином и эозином; ´400.