Аксиальная компьютерная томограмма больного с остеогенной саркомой в теменно-затылочной области

Аксиальная компьютерная томограмма больного с остеогенной саркомой в теменно-затылочной области
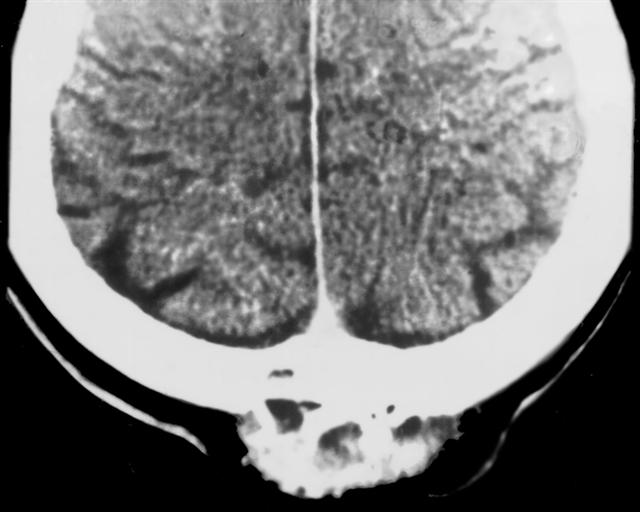
Рис. 10. Аксиальная компьютерная томограмма больного с остеогенной саркомой в теменно-затылочной области: опухоль врастает в мягкие ткани головы с образованием остеоидной и костной ткани в массе опухоли.