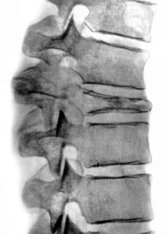
Рентгенограмма позвоночника при деструкции тела позвонка опухолевым процессом

Рентгенограмма позвоночника при деструкции тела позвонка опухолевым процессом

Рис. 16. Рентгенограмма позвоночника (боковая проекция) при деструкции тела позвонка опухолевым процессом.


Перейти к статье «Позвоночник»