Микропрепараты некоторых опухолей забрюшинного пространства: феохромоцитома

Микропрепараты некоторых опухолей забрюшинного пространства: феохромоцитома
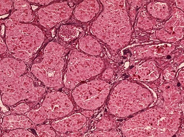
Рис. 7. Микропрепараты некоторых опухолей забрюшинного пространства: феохромоцитома; тройная окраска по Массону; ´100.