Компьютерные томограммы при черепно-мозговой травме, сопровождающейся компрессией головного мозга

Компьютерные томограммы при черепно-мозговой травме, сопровождающейся компрессией головного мозга
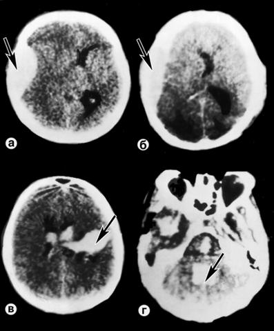
Рис. 2. Компьютерные томограммы при черепно-мозговой травме, сопровождающейся компрессией головного мозга: а — эпидуральная гематома (указана стрелкой); б — субдуральная гематома (указана стрелкой); в — внутримозговая гематома с прорывом в боковые желудочки (указана стрелкой); г — внутрижелудочковая гематома (IV желудочек, указана стрелкой).