- Черепно-мозговая травма
Черепно-мозговая травма — механическое повреждение черепа и (или) внутричерепных образований (головного мозга, мозговых оболочек, сосудов, черепных нервов). Составляет 25—30% всех травм, а среди летальных исходов при травмах ее удельный вес достигает 50—60%. Как причина смертности лиц молодого и среднего возраста черепно-мозговая травма опережает сердечно-сосудистые и онкологические заболевания.
Частота черепно-мозговой травмы и тяжесть ее последствий придают проблеме большое социальное значение. Черепно-мозговую травму преимущественно получает наиболее активный и важный в социальном и трудовом отношении контингент населения — лица до 50 лет. Это определяет также большие экономические потери вследствие высокой смертности, нередкой инвалидизации пострадавших, а также временной утраты трудоспособности. Среди причин черепно-мозговых травм доминируюг транспортный (главным образом автодорожный), бытовой и производственный травматизм.
В биомеханике черепно-мозговой травмы одновременно действует комплекс первичных факторов, среди которых ведущими являются: ударная волна, распространяющаяся от места приложения травмирующего агента к голове через мозг к противоположному полюсу с быстрыми перепадами давлении в местах удара и противоудара; ударный эффект костно-черепной деформации, а также резонансная кавитация, гидродинамический толчок, когда в момент травмы цереброспинальная жидкость устремляется из сравнительно широких полостей желудочков в межжелудочковые отверстия, водопровод мозга и др.; перемещение и ротация больших полушарий относительно более фиксированного ствола мозга при травме ускорения — замедления с натяжением и разрывом аксонов.
Черепно-мозговая травма в зависимости от ее тяжести и вида приводит к различным по степени и распространенности первичным структурно-функциональным повреждениям мозга на субклеточном, клеточном, тканевом и органном уровнях и расстройству центральной регуляции функций жизненно важных систем организма. В ответ на повреждение мозга возникают нарушения мозгового кровообращения, ликвороциркуляции, проницаемости гематоэнцефалического барьера. Вследствие избыточного обводнения клеток мозга и межклеточных пространств развивается отек и набухание мозга, что вместе с другими патологическими реакциями обусловливает повышение внутричерепного давления. Развертываются процессы смещения и сдавления мозга, которые могут приводить к ущемлению стволовых образований в отверстии мозжечкового намета либо в затылочно-шейной дуральной воронке. Это, в свою очередь, вызывает дальнейшее ухудшение кровообращения, метаболизма и функциональной активности мозга. Неблагоприятным вторичным фактором поражения мозга является его гипоксия вследствие нарушений дыхания или кровообращения.
Черепно-мозговую травму по тяжести делят на 3 стадии: легкую, среднюю и тяжелую. К легкой черепно-мозговой травме относят сотрясение мозга и ушибы мозга легкой степени; к средней тяжести — ушибы мозга средней степени; к тяжелой — ушибы мозга тяжелой степени, диффузное аксональное повреждение и сдавление мозга.
По характеру поражения мозга выделяют очаговые (возникающие главным образом при ударнопротивоударной биомеханике травмы головы), диффузные (возникающие главным образом при травме ускорения — замедления) и сочетанные его повреждения.
Различают закрытую и открытую черепно-мозговую травму . К закрытой относят повреждения, при которых не нарушается целость покровов головы, либо имеются раны мягких тканей без повреждения апоневроза. Переломы костей свода черепа, не сопровождающиеся ранением прилежащих мягких тканей и апоневроза, также включают в закрытую черепно-мозговую травму .
К открытой черепно-мозговой травме относят переломы костей свода черепа, сопровождающиеся ранением прилежащих мягких тканей, переломы основания черепа, сопровождающиеся кровотечением или ликвореей (из носа или уха), а также раны мягких тканей головы с повреждением апоневроза. При целости твердой мозговой оболочки открытую черепно-мозговую травму относят к непроникающей, а при нарушении ее целости — к проникающей.
Черепно-мозговая травма может быть изолированной (внечерепные повреждения отсутствуют); сочетанной (одновременно имеются повреждения костей скелета и/или внутренних органов), комбинированной (одновременно воздействуют различные виды энергии — механическая, термическая, лучевая, химическая и др.).
По особенностям возникновения черепно-мозговая травма может быть первичной (когда воздействие механической энергии не обусловлено какими-либо непосредственно предшествующими ей церебральными нарушениями) и вторичной (когда воздействие механической энергии обусловлено непосредственно предшествующей церебральной катастрофой, вызывающей падение больного, например при эпилептическом припадке или инсульте).
Черепно-мозговая травма может быть получена впервые или повторно, т.е. быть первой или второй, третьей и т.д.
В течении черепно-мозговой травмы различают острый, промежуточный, отдаленный периоды. Их временная и синдромологическая характеристика определяется прежде всего клинической формой черепно-мозговой травмы , ее характером, типом, возрастом, преморбидными и индивидуальными особенностями пострадавшего, а также качеством лечения.
Основными клиническими формами черепно-мозговой травмы являются сотрясение мозга, ушибы мозга (легкой, средней и тяжелой степени), диффузное аксональное повреждение мозга и сдавление мозга.
Сотрясение головного мозга отмечается у 60—70% пострадавших. Характеризуется потерей сознания на несколько секунд или минут. Может быть ретро-, кон-, антероградная амнезия на короткий период времени. Нередко наблюдается рвота. После восстановления сознания характерны жалобы на головную боль, головокружение, тошноту, слабость, шум в ушах, приливы крови к лицу, потливость. Другие вегетативные симптомы и нарушение сна. Отмечаются боли при движении глаз, иногда расхождение глазных яблок при чтении, повышение вестибулярной возбудимости. В неврологическом статусе могут выявляться непостоянная и негрубая асимметрия сухожильных и кожных рефлексов, мелкоразмашистый нистагм, легкие оболочечные симптомы, исчезающие в течение первых 3—7 сут. Повреждения костей черепа отсутствуют. Давление ликвора и его состав без изменений. Общее состояние больных быстро улучшается в течение 1-й, реже 2-й нед. после травмы.
Ушиб (контузия) мозга. Различают ушибы головного мозга легкой, средней и тяжелой степени.
Ушиб головного мозга легкой степени отмечается у 10—15% больных с черепно-мозговой травмой . Характеризуется выключением сознания после травмы длительностью от нескольких до десятков минут. После восстановления сознания типичны жалобы на головную боль, головокружение, тошноту и др. Как правило, отмечается ретро-, кон-, антероградная амнезия (см. Память). Рвота, иногда повторная. Могут отмечаться умеренная брадикардия или тахикардия, иногда — системная артериальная гипертензия. Дыхание и температура тела без существенных отклонений. Неврологическая симптоматика обычно легкая (клонический нистагм, незначительная анизокория, признаки пирамидной недостаточности, менингеальные симптомы и др.), чаще регрессирующая на 2—3 нед. после травмы. Возможны переломы костей свода черепа и субарахноидальное кровоизлияние (см. Подоболочечные кровоизлияния).
При компьютерной томографии часто выявляют зону пониженной плотности в веществе мозга, соответствующую по томоденситометрическим показателям отеку мозга. Отек может быть локальным, долевым или полушарным и проявляется умеренным объемным эффектом в виде сужения ликворных пространств. Эти изменения, обнаруживаемые в первые часы после травмы, обычно достигают максимума на 3-й сутки и исчезают через 2 недели. В части наблюдений при ушибе мозга легкой степени не выявляется изменений на компьютерных томограммах несмотря на то, что патоморфологически ушиб мозга легкой степени характеризуется участками локального отека вещества мозга, точечными диапедезными кровоизлияниями, ограниченными разрывами мелких пиальных сосудов.
Ушиб мозга средней степени отмечается у 8—10% пострадавших. Характеризуется выключением сознания после травмы продолжительностью от нескольких десятков минут до нескольких часов. Выражена амнезия (ретро-, кон-, антероградная). Головная боль нередко сильная. Может наблюдаться повторная рвота. Иногда отмечаются психические нарушения. Возможны преходящие расстройства жизненно важных функций: брадикардия или тахикардия, повышение АД, тахипноэ без нарушения ритма дыхания и проходимости дыхательных путей, субфебрилитет. Часто выявляются оболочечные и стволовые симптомы, диссоциация мышечного тонуса и сухожильных рефлексов по оси тела, двусторонние патологические знаки и др. Отчетливо проявляется очаговая симптоматика, характер которой обусловлен локализацией ушиба мозга; зрачковые и глазодвигательные нарушения, парезы конечностей, расстройства чувствительности, речи и др. Эти симптомы постепенно (в течение 3—5 нед.) сглаживаются, но могут держаться и длительно. При ушибе головного мозга средней степени нередко наблюдаются переломы костей свода и основания черепа, а также значительное субарахноидальное кровоизлияние.
При компьютерной томографии в большинстве наблюдений выявляют очаговые изменения в виде некомпактно расположенных в зоне пониженной плотности высокоплотных мелких включений, либо умеренного гомогенного повышения плотности (что соответствует мелким кровоизлияниям в зоне ушиба или умеренному геморрагическому пропитыванию ткани мозга без грубой ее деструкции). В части наблюдений при клинической картине ушиба средней степени на компьютерной томограмме выявляются лишь зоны пониженной плотности (локальный отек) либо признаки травмы мозга вообще не визуализируются.
Ушиб головного мозга тяжелой степени отмечается у 5—7% пострадавших. Характеризуется выключением сознания после травмы продолжительностью от нескольких часов до нескольких недель. Часто выражено двигательное возбуждение. Наблюдаются тяжелые нарушения жизненно важных функций: артериальная гипертензия (иногда гипотензия), брадикардия или тахикардия, расстройства частоты и ритма дыхания, которые могут сопровождаться нарушениями проходимости верхних дыхательных путей. Выражена гипертермия. Часто доминирует первично-стволовая неврологическая симптоматика (плавающие движения глазных яблок, парез взора, тоничный нистагм, нарушения глотания, двусторонний мидриаз или птоз, дивергенция глаз по вертикальной или горизонтальной оси, меняющийся мышечный тонус, децеребрационная ригидность, угнетение или повышение сухожильных рефлексов, рефлексов со слизистых оболочек и кожи, двусторонние патологические стопные знаки и др.), которая в первые часы и дни после травмы затушевывает очаговые полушарные симптомы. Могут выявляться парезы конечностей (вплоть до параличей), подкорковые нарушения мышечного тонуса, рефлексы орального автоматизма и т.д. Иногда отмечаются генерализованные или фокальные эпилептические припадки. Очаговые симптомы регрессируют медленно; часты грубые остаточные явления, прежде всего в двигательной и психической сфере. Ушибу головного мозга тяжелой степени часто сопутствуют переломы свода и основания черепа, а также массивное субарахноидальное кровоизлияние.
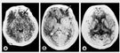
При компьютерной томографии в 1/3 наблюдений выявляются очаговые поражения мозга в виде неоднородного повышения плотности (рис. 1, а). Определяется чередование участков, имеющих повышенную (плотность свежих сгустков крови) и пониженную плотность (плотность отечной и/или размозженной ткани мозга). В наиболее тяжелых случаях деструкция вещества мозга распространяется в глубину, достигая подкорковых ядер и желудочковой системы. Наблюдение в динамике показывает постепенное уменьшение объема участков уплотнения, их слияние и превращение в более гомогенную массу уже на 8—10 сут. Объемный эффект патологического субстрата регрессирует медленнее, указывая на существование в очаге ушиба нерассосавшейся размозженной ткани и сгустков крови, которые к этому времени становятся равноплотными по отношению к окружающему отечному веществу мозга. Исчезновение объемного эффекта к 30—40 сут. после травмы свидетельствует о рассасывании патологического субстрата и формировании на его месте зон атрофии или кистозных полостей.
Примерно в половине наблюдений ушиба мозга тяжелой степени при компьютерной томографии выявляются значительные по размерам очаги интенсивного гомогенного повышения плотности с нечеткими границами (рис. 1, б), указывающие на значительное содержание в зоне травматического поражения мозга жидкой крови и ее сгустков. В динамике отмечается постепенное и одновременное уменьшение на протяжении 4—5 нед. размеров участка деструкции, его плотности и обусловленного им объемного эффекта.
Диффузное аксональное повреждение головного мозга характеризуется длительным (до 2—3 нед.) коматозным состоянием, выраженными стволовыми симптомами (парез взора вверх, разностояние глаз по вертикальной оси, двустороннее угнетение или выпадение световой реакции зрачков, нарушение или отсутствие окулоцефалического рефлекса и др.).
Часто наблюдаются нарушения частоты и ритма дыхания. Кома сопровождается симметричной либо асимметричной децеребрационной ригидностью, легко провоцируемой болевыми и другими раздражениями. При этом наблюдаются различные изменения мышечного тонуса преимущественно в виде горметонии или диффузной гипотонии. Часто обнаруживают парезы конечностей пирамидно-экстрапирамидного характера, включая и двигательные тетрапарезы. Ярко выступают вегетативные расстройства: артериальная гипертензия, гипертермия, гиперсаливация и др.
Характерной особенностью клинического течения диффузного аксонального повреждения является переход из длительной комы в стойкое или транзиторное вегетативное состояние, о наступлении которого свидетельствует появление ранее отсутствовавшего открывания глаз спонтанно либо в ответ на различные раздражения. При этом нет признаков слежения, фиксации взора или выполнения хотя бы элементарных инструкций (см. Апаллический синдром). Вегетативное состояние у таких больных длится от нескольких суток до нескольких месяцев и характеризуется функциональным и/или анатомическим разобщением больших полушарий и ствола мозга. При отсутствии каких-либо проявлений функционирования коры головного мозга растормаживаются подкорковые, орально-стволовые, каудально-стволовые и спинальные механизмы. Хаотичная и мозаичная автономизация их деятельности обусловливает появление необычных, разнообразных и динамичных глазодвигательных, зрачковых, оральных, бульбарных, пирамидных и экстрапирамидных симптомов. Сегментарные стволовые рефлексы активизируются на всех уровнях. Восстанавливается живая реакция зрачков на свет. Может сохраняться анизокория, но преобладает сужение зрачков с обеих сторон, нередко с изменчивым их спонтанным или — в ответ на световое раздражение — парадоксальным расширением. Глазодвигательные автоматизмы проявляются в виде медленных плавающих движений глазных яблок в горизонтальной и вертикальной плоскостях; дивергенция сопровождается меняющимся разностоянием глазных яблок по вертикали. Отмечается спазм взора (чаще вниз). Болевые и другие раздражения иногда приводят к тоническому сведению глаз и появлению крупного конвергирующего нистагма. Вызывание роговичных рефлексов, в том числе падающей каплей, часто приводит к различным патологическим ответам — корнеомандибулярному рефлексу, оральным автоматизмам, генерализованным некоординированным движениям конечностей и туловища. Характерен тризм жевательной мускулатуры. Часто выражены лицевые синкинезии — жевание, сосание, причмокивание, скрежетание зубами, зажмуривание век, мигание. Наблюдаются зевательные и глотательные автоматизмы. При отсутствии фиксации взора порой проявляется мимика боли, страдания, плача.
На фоне пирамидно-экстрапирамидного синдрома с двусторонними изменениями мышечного тонуса и сухожильных рефлексов спонтанно или в ответ на различные раздражения, в том числе пассивную перемену положения тела, могут развертываться позно-тонические и некоординированные защитные реакции, приводящие тонические спазмы в конечностях, повороты корпуса, повороты и наклоны головы, пароксизмальные напряжения мышц передней брюшной стенки, тройное укорочение ног, крупноамплитудные движения и сложно-вычурные позы рук, двигательные стереотипии, тремор кистей и др. Формула инвертированных реакций многократно меняется у одного и того же больного в течение даже короткого промежутка времени. Среди множества патологических рефлексов могут встречаться и новые варианты (например, двустороннее повышение брюшных рефлексов на фоне тетрапареза с угнетением периостальных и сухожильных рефлексов.
При длительном вегетативном состоянии вследствие диффузного аксонального повреждения, наряду с активизацией спинальных автоматизмов, проявляются и признаки полиневропатии спинномозгового и корешкового генеза (фибрилляции мышц конечностей и туловища, гипотрофии мышц кисти, распространенные нейротрофические расстройства). На этом фоне могут развертываться и пароксизмальные состояния сложной структуры с яркими вегетовисцеральными слагаемыми — тахикардией, тахипноэ, гипертермией, гиперемией и гипергидрозом лица и др.
По мере выхода из вегетативного состояния неврологические симптомы разобщения сменяются преимущественно симптомами выпадения. Среди них доминирует экстрапирамидный синдром с выраженной мышечной скованностью, дискоординацией, брадикинезией, олигофазией, гипомимией, мелкими гиперкинезами, атаксией. Одновременно четко проявляются нарушения психики: резко выраженная аспонтанность (безразличие к окружающему, неопрятность в постели, отсутствие любых побуждений к какой-либо деятельности), амнестическая спутанность, слабоумие и др. Вместе с тем наблюдаются грубые аффективные расстройства в виде гневливости, агрессивности.
При диффузном аксональном повреждении на компьютерных томограммах обнаруживается увеличение объема мозга (вследствие его отека и набухания), проявляющееся сужением или полным сдавлением боковых и третьего желудочков, субарахноидальных конвекситальных пространств и цистерн основания мозга. На этом фоне могут выявляться мелкоочаговые геморрагии в белом веществе полушарий мозга, мозолистом теле, а также в подкорковых и стволовых структурах (рис. 1, в).
При развитии вегетативного состояния часто отмечается характерная динамика компьютерно-томографических данных: спустя 2— 3 нед. после травмы явления отека и набухания мозга регрессируют, мелкие очаги повышенной плотности (геморрагии) либо не визуализируются, либо плотность их становится пониженной, начинают отчетливо вырисовываться цистерны основания мозга, конвекситальные субарахноидальные щели, отмечается тенденция к расширению (ранее суженной) желудочковой системы. Обычно по времени это совпадает с переходом больных из комы в вегетативное состояние.
Сдавление (компрессия) головного мозга отмечается у 3—5% пострадавших. Характеризуется нарастанием через тот или иной промежуток времени после травмы либо непосредственно после нее общемозговых симптомов (появление или углубление нарушений сознания, усиление головной боли, повторная рвота, психомоторное возбуждение и т.д.), очаговых (появление или углубление гемипареза, одностороннего мидриаза, фокальных эпилептических припадков и др.) и стволовых симптомов (появление или углубление брадикардии, повышение АД, ограничение взора вверх, тоничный спонтанный нистагм, двусторонние патологические знаки и др.).
В зависимости от формы повреждения (сотрясение, ушиб мозга различной степени), на фоне которой развивается травматическое сдавление головного мозга, светлый промежуток перед нарастанием жизненно опасных проявлений может быть развернутым, стертым либо отсутствует. Среди причин сдавления на первом месте стоят внутричерепные гематомы (эпидуральные, субдуральные, внутримозговые, внутрижелудочковые). Причиной сдавления мозга могут быть и вдавленные переломы костей черепа, очаги размозжения мозга, субдуральные гигромы, пневмоцефалия.
Эпидуральная гематома на компьютерной томограмме имеет вид двояковыпуклой (рис. 2, а), реже плосковыпуклой зоны повышенной плотности, примыкающей к своду черепа. Гематома имеет ограниченный характер и, как правило, локализуется в пределах одной-двух долей. При венозных источниках кровотечения она может распространяться на значительном протяжении и иметь серповидную форму.
Для субдуральной гематомы на компьютерной томограмме чаще характерно наличие серповидной зоны измененной плотности (рис. 2, б) плосковыпуклой, двояковыпуклой или неправильной формы. Часто субдуральные гематомы распространяются на все полушарие или большую его часть. Внутримозговые гематомы имеют вид круглых или вытянутых зон гомогенного интенсивного повышения плотности с четкими границами (рис. 2, в). Гематомы формируются как вследствие прямого повреждения сосуда, так и при ангионекрозе в очаге размозжения мозга. Внутрижелудочковые гематомы выявляются зоной интенсивного гомогенного повышения плотности, по своей топике и форме соответствующей тому или иному желудочку мозга (рис. 2, г).
Внутричерепные кровоизлияния у пострадавших с выраженной анемией могут иметь плотность, одинаковую с плотностью мозга. Для сгустков крови характерна более высокая, чем для жидкой крови, плотность. Они четче дифференцируются от окружающих тканей. Внутричерепные гематомы, содержащие свежую несвернувшуюся кровь, на компьютерной томограмме могут иметь одинаковую с мозгом или даже пониженную плотность, на фоне которой при эпидуральной гематоме может выявляться оттеснение твердой мозговой оболочки.
По мере последующего разжижения содержимого гематом, деградации фибрина в сгустках крови, распада ее пигментов происходит постепенное снижение плотности гематомы, затрудняющее диагностику кровоизлияний, особенно в тех случаях, когда коэффициент абсорбции измененной крови и окружающего мозгового вещества становятся одинаковыми. Затем следует фаза пониженной плотности, в период которой коэффициент абсорбции излившейся крови приближается к плотности цереброспинальной жидкости.
Расстройства сознания. Адекватная клиническая оценка формы и тяжести черепно-мозговой травмы обязательно предполагает правильную квалификацию расстройств сознания. Выделяют следующие состояния сознания при черепно-мозговой травме : ясное сознание, умеренное оглушение, глубокое оглушение, сопор, кома (умеренная, глубокая и терминальная). Ясное сознание характеризуется бодрствованием, полной ориентировкой, адекватными реакциями. Оглушение проявляется угнетением сознания при сохранности ограниченного словесного контакта на фоне повышения порога восприятия внешних раздражителей и снижения собственной активности, замедлением психических и двигательных реакций. Умеренное оглушение характеризуется умеренной сонливостью, негрубыми ошибками в ориентировке во времени при несколько замедленном осмыслении и выполнении словесных команд (инструкций). При глубоком оглушении наблюдается дезориентировка, глубокая сонливость, выполнение лишь простых команд.
Сопор характеризуется патологической сонливостью, сохранностью координированных защитных реакций и открывания глаз на болевые и другие раздражители, локализацией боли. Кома — это выключение сознания с полной утратой восприятия окружающего мира, самого себя и всех других признаков психической деятельности. В зависимости от выраженности и продолжительности неврологических и вегетативных нарушений кому по тяжести подразделяют на умеренную (кома 1), глубокую (кома 2), терминальную (кома 3).
Для умеренной комы (1) характерны неразбудимость, неоткрывание глаз, некоординированные защитные движения без локализации болевых раздражений, отсутствие реакций на внешние раздражения, кроме болевых. Больной не открывает глаза в ответ на болевое раздражение. Зрачковые и роговичные рефлексы обычно сохранены. Брюшные рефлексы угнетены, сухожильные чаще повышены. Могут появляться рефлексы орального автоматизма и патологические стопные знаки. Глотание резко затруднено. Защитные рефлексы верхних дыхательных путей чаще сохранены. Контроль за сфинктерами тазовых органов нарушен. Дыхание и сердечно-сосудистая деятельность без угрожающих отклонений.
Ведущими признаками глубокой комы (2) являются неразбудимость, отсутствие защитных движений на боль и любые внешние раздражения, лишь на очень сильные болевые раздражения могут возникать экстензорные движения в конечностях. Разнообразны изменения мышечного тонуса — от генерализованной горметонии и децебрационной ригидности до диффузной гипотонии. Наблюдается диссоциация менингеальных симптомов по оси тела (исчезновение ригидности затылочных мышц при положительном симптоме Кернига), мозаичные изменения кожных, сухожильных, роговичных, а также зрачковых рефлексов (при отсутствии фиксированного двустороннего мидриаза) с преобладанием их угнетения. Сохранены спонтанное дыхание и сердечно-сосудистая деятельность при выраженных их нарушениях.
При терминальной коме (3) наблюдается мышечная атония, двусторонний фиксированный мидриаз, неподвижность глазных яблок, тотальная арефлексия, критические нарушения жизненно важных функций (выраженные расстройства ритма и частоты дыхания или апноэ, резчайшая тахикардия, АД ниже 60 мм. рт. ст.).
Выход из длительной комы проходит через ряд характерных и часто протяженных по времени посткоматозных состояний. Среди них наиболее четко очерчены и прогностически значимы вегетативное состояние (см. Апаллический синдром, Расстройства сознания) и мутизм акинетический.
Психические расстройства. При черепно-мозговой травме в различные периоды могут возникать психотические состояния, интеллектуально-мнестические, аффективные и волевые нарушения, пароксизмальный синдром.
Ясность сознания и основные психические функции восстанавливаются у пострадавших тем быстрее, чем менее длительным и глубоким был период потери сознания. После длительного коматозного состояния, продолжавшегося несколько дней и тем более недель, как правило, выявляется картина тотального органическою слабоумия.
Нервно-психические расстройства обычно подвергаются обратному развитию. Первым признаком восстановления сознания является восприятие самого себя как субъекта. По мере восстановления ясности сознания, различных видов ориентировки и контактов с окружающими у больных обнаруживаются то более, то менее выраженные симптомы церебральной астении (см. Астенический синдром). В тяжелых случаях она представлена астено-адинамическим синдромом. На первый план могут выступать нарушения памяти в форме амнезии.
При тяжелых повреждениях мозга по выходе больного из коматозного состояния может развиться преходящая психотическая картина с дезориентировкой в окружающем, месте и времени, интеллектуальной несостоятельностью, расстройствами внимания и критики (амнестическая спутанность). В прогностическом плане такая динамика нервно-психических расстройств является неблагоприятной: в дальнейшем часто появляются стойкие психоорганические нарушения или типичное лакунарное слабоумие.
Наиболее характерными травматическими психозами в периоде ближайших последствий травмы являются сумеречное и делириозное помрачение сознания. Сумеречное состояние чаще всего представлено эпилептиформным вариантом, а делирий преимущественно развивается у лиц с хроническим алкоголизмом. Психопатологические переживания отличаются фрагментарностью, галлюцинаторная симптоматика носит неразвернутый характер, преобладает аффект тревоги или страха, типичны светлые промежутки, что создает впечатление о рецидивирующем течении психоза.
Нередко в этом периоде, особенно при ушибе мозга в сочетании с внутричерепными кровоизлияниями, возникают судорожные припадки (эпилептические реакции). Раннее их появление свидетельствует о более вероятном формировании в дальнейшем травматической эпилепсии.
Апатико-адинамическое состояние обусловлено поражением конвекситальной части лобной коры (лобный синдром). Оно выражается в резком снижении активности, ослаблении волевых импульсов и побуждений. Больные становятся аспонтанными, лишенными инициативы и желаний. При поражении базально-лобной коры, особенно двустороннем, структура психических расстройств представлена синдромом мории: больные расторможены, эйфоричны, беспечны, склонны к острым вспышкам возбуждения; у них грубо нарушена критика к своему состоянию, они подчас категорически отказываются от приема лекарств или иных лечебно-диагностических процедур. В редких случаях психоз принимает черты экспансивно-конфабуляторного (псевдопаралитического) синдрома. В таких случаях последующая динамика психоза характеризуется формированием стойкого Корсаковского (амнестического) синдрома. Он отличается бледностью конфабуляций, наличием распространяющейся на несколько месяцев ретроградной амнезии.
Наряду с этими тяжелыми, в большинстве случаев обратимыми формами психических расстройств, составляющих группу острых экзогенно-органических психозов, могут развиваться эндоформные синдромы. В одних случаях они представлены шизофреноподобными вариантами (галлюцинаторные, галлюцинаторно-параноидные, параноидные), в других — аффективными (астенодепрессивные, депрессивно-ипохондрические, тревожно-депрессивные, маниакально-дисфорические, гипоманиакальные), являющихся вариантами травматических психозов отдаленного периода. В отдельных случаях их течение приобретает непрерывный или рецидивирующий характер, растягивается на многие годы и всегда является прогностически неблагоприятным признаком.
В основном же в отдаленном периоде наблюдаются такие формы психической патологии, как психическая слабость (травматическая церебрастения), психопатоподобный синдром, психоорганический синдром, травматическая деменция, травматическая эпилепсия.
Основными признаками психической слабости является раздражительность, слабость, истощаемость, неустойчивость фона настроения. В той или иной мере проявляется мнестико-интеллектуальная недостаточность. При благоприятной динамике все эти расстройства подвергаются обратному развитию, хотя нередко на многие месяцы и даже годы сохраняются признаки повышенной истощаемости.
Сочетание свойственных церебрально-органическому поражению инертности нервных процессов и чрезмерной возбудимости с повторяющимися психотравмирующими воздействиями обусловливает формирование психопатоподобного синдрома. Чаще всего он представлен возбудимым (эксплозивным) и истерическим вариантом. Характерны эпизоды тоскливо-злобного настроения и патология влечений (половые и алкогольные эксцессы, дромомания). Психопатоподобные расстройства нередко характеризуются регредиентной динамикой. В итоге наступает компенсация эмоционально-волевых нарушений. При неблагоприятной же динамике все более отчетливыми становятся признаки органического дефекта: нарушения памяти, персеверативность мышления, снижение интеллекта, творческих способностей, несостоятельность в работе и в отношениях с людьми, обеднение личности, частые расстройства настроения. В дальнейшем наступает органическое слабоумие. Характерологические нарушения могут быть одним из этапов патологического развития личности, формирующегося в условиях психотравмирующей ситуации. На первый план выступают идеи преследования, ревности, ипохондрического содержания, но особенно часто — сутяжно-кверулянтного характера. Паранойяльное развитие свидетельствует о психическом заболевании.
Появление в отдаленном периоде пароксизмов с потерей сознания, судорожными или сенсорными проявлениями нередко свидетельствует о начале эпилептического процесса.
Особенности черепно-мозговой травмы у детей. В связи с возрастными анатомо-физиологическими особенностями (ранимость незрелого мозга и высокие его компенсаторные возможности, наличие родничков, подвижность костей черепа, отсутствие в них губчатого слоя и т.д.) черепно-мозговая травма у детей имеет существенные отличия в своем проявлении, течении и исходах. Часты переломы костей черепа. Только у детей наблюдаются поднадкостнично-эпидуральные гематомы. Диффузное аксональное повреждение головного мозга у детей встречается гораздо чаще, чем у взрослых. При легкой черепно-мозговой травме может не отмечаться потери сознания. При ушибах мозга средней и тяжелой степени локальные симптомы нередко отсутствуют или мало выражены; преобладают общемозговые и вегетативные нарушения. В детском возрасте характерна более быстрая динамика клинической картины черепно-мозговой травмы как в сторону улучшения (при нехирургических формах), так и ухудшения (при сдавлении мозга). У маленьких детей даже при сравнительно небольшой кровопотере может возникнуть травматический шок.
Диагноз. В основе распознавания форм черепно-мозговой травмы лежит правильная оценка анамнеза и клинических признаков повреждений головного мозга и всех его покровов.
Диагноз уточняют с помощью инструментальных методов исследования. Всем пострадавшим с черепно-мозговой травмой проводят краниографию, которая позволяет выявить (или исключить) переломы костей свода черепа. Распознавание переломов костей основания черепа нередко требует специальных укладок, однако наличие кровотечения или тем более ликвореи из носа либо уха позволяет определять их и клинически. Следует иметь в виду, что нет полного соответствия между степенью повреждения костей свода и основания черепа и тяжестью клинических проявлений черепно-мозговой травмы , так как грубые повреждения головного мозга с формированием подоболочечных и внутримозговых гематом, очагами размозжения мозга, разрывами сосудов, венозных синусов и оболочек мозга нередко происходят без травматических изменений костей черепа. Рентгенографию в остром периоде проводят не изменяя положения головы больного и часто ограничиваются обзорными краниограммами в стандартных проекциях.
Различают повреждения мягких тканей головы, переломы костей свода, основания черепа и их сочетания. Повреждение мягких тканей головы сопровождается образованием гематомы и отеком тканей над и под апоневрозом и частым нарушением целостности кожного покрова и прилежащих тканей. На краниограммах при этом полутенью видна припухлость мягких тканей, где могут различаться инородные тела (костные отломки, металлические и другие рентгеноконтрастные тела); при рвано-ушибленных ранах определяется расхождение краев раны.
Переломы костей свода черепа бывают неполными (трещины) и полными. При неполном переломе изолированно повреждается наружная или внутренняя костная пластинка. Через 2—3 мес. после травмы небольшое кровоизлияние около отрыва внутренней костной пластинки обычно организуется и частично обызвествляется, что позволяет локализовать на краниограммах место бывшего неполного перелома.
Полные переломы подразделяют на линейные, оскольчатые, дырчатые и их сочетания. При линейном переломе (сквозная трещина) повреждаются все три слоя кости. Признаками линейного перелома на рентгенограммах являются: прямолинейность, увеличенная прозрачность (зияние просвета), зигзагообразность узость просвета и симптом раздвоения. Оценивают отношение линейного перелома к сосудистым бороздам, преимущественно средней оболочечной артерии, крупным диплоическим венам и синусам твердой мозговой оболочки, т.к. их повреждение обусловливает формирование эпи- и субдуральных гематом. Обычно на протяжении 3—6 мес. благодаря постепенному рассасыванию мелких и мельчайших краевых отломков края линейного перелома становятся ровными, четкими, прозрачность линейной трещины повышается. Нередко перелом переходит по своду черепа на другую сторону головы. Выделяют группу дугообразных или кольцевых линейных переломов: в месте приложения травмирующей силы образуются дугообразные линии перелома наружной костной пластинки в сочетании с радиально идущими линиями перелома по внутренней костной пластинке, что придает перелому звездчатую форму. При падении с большой высоты на ноги, голову, ягодицы образуются кольцевидные переломы вокруг большого затылочного отверстия, вследствие внедрения шейных позвонков в полость черепа. Линейный перелом по шву черепа характеризуется деструкцией его зубчатости и расхождением краев шва.
Неполные переломы закрываются обычно в течение 3 мес. В раннем детском возрасте линейный перелом заживает за 4—8 мес., в 5—12 лет — в среднем за 14—24 мес. У взрослых линия перелома отчетливо видна на краниограммах в среднем в течение 3 лет, но нередко дифференцируется через 7—10 лет или на протяжении всей жизни.
Оскольчатые вдавленные переломы подразделяют на импрессионные и депрессионные. При импрессионном переломе отломки (один или несколько) смещаются в полость черепа под острым углом, приобретая вид конуса, что, как правило, сопровождается разрывом твердой мозговой оболочки, формированием гематомы и очагов размозжения мозга. Депрессионные переломы образуются при воздействии травмирующей силы на большой площади (тупыми предметами). Костный фрагмент целиком или частично смещается в полость черепа обычно неглубоко, примерно на толщину прилежащих отделов костей свода. Твердая мозговая оболочка при этом, как правило, не повреждается. Если несколько вдавленных осколков фрагментарно накладываются друг на друга, то образуется так называемый черепицеобразный перелом. Встречаются раздробленные оскольчатые переломы костей свода, когда видна зона повреждения кости без смещения костных фрагментов. Все типы оскольчатых переломов часто сопровождаются многочисленными трещинами и линейными переломами.
Дырчатые переломы обычно образуются при огнестрельном ранении. Они всегда проникающие и сопровождаются повреждением ткани млзга. Костные дефекты небольшие (диаметром 2—5 см), с неровными зазубренными краями. Различают три основных типа дырчатых переломов: отвесный, слепой и сквозной. При рикошетирующем ранении образуется отвесный перелом, ранящего снаряда в ране и полости черепа нет. Образовавшиеся костные отломки располагаются гроздевидно около костного дефекта в мозгу и мягких тканях раны. Слепой (незавершенный) дырчатый перелом сопровождается повреждением мозговых оболочек, ткани мозга. На рентгенограммах видны металлический ранящий снаряд, металлическая пыль по ходу раневого канала и вторичные костные отломки. При сквозном дырчатом переломе образуется не менее двух костных дефектов разной формы и величины, причем края костных дефектов часто соединяются линейными переломами (растрескиванием) или трещинами.
Абсолютное большинство линейных переломов основания черепа являются продолженными переломами костей свода, но могут быть и изолированными (при парабазальной травме). Линейный перелом дна передней черепной ямки начинается с чешуи лобной кости, переходит через орбитальный край, крышу глазницы или заднюю стенку лобной пазухи на малое или большое крыло основной кости и стенки канала зрительного нерва (следствием чего является внезапная слепота), либо поперечно пересекает решетчатую пластинку, петушиный гребень и распространяется на другую сторону передней черепной ямки. Снижение прозрачности лобной пазухи и решетчатого лабиринта при отсутствии указаний в анамнезе на синусит указывает на кровоизлияние (гематосинус). Сквозные трещины, начинающиеся с теменной кости или чешуи височной кости, распространяются на дно средней черепной ямки к овальному, круглому, рваному и остистому отверстиям, либо продольно по пирамиде височной кости без перелома капсулы лабиринта (при этом слух сохранен, нет паралича лицевого нерва). В редких случаях перелом проходит поперечно через всю среднюю черепную ямку, повреждая тело основной кости. Линейный перелом чешуи затылочной кости продолжается в заднюю черепную ямку и обычно либо пересекает край большого затылочного отверстия, либо поперечно пересекает пирамиду височной кости с разрушением преддверия лабиринта, полукружных каналов, улитки (последняя сопровождается потерей слуха и периферическим параличом лицевого нерва). В отдельных случаях линия перелома распространяется к яремному отверстию. Редко встречаются линейные переломы, проходящие через все три черепные ямки; такое повреждение часто несовместимо с жизнью. При огнестрельных ранениях могут быть изолированные переломы (линейные, оскольчатые, дырчатые) костей основания черепа. В клинической практике вариабельность сочетаний оскольчатых, линейных, раздробленных и дырчатых переломов столь велика, что не поддается конкретной классификации.
Распространенным методом исследования при черепно-мозговой травме является эхоэнцефалография. При этом сигнал, отраженный от образований, находящихся в срединной плоскости мозга, при внутричерепной гематоме, гигроме или очаге размозжения мозга может смещаться на 6—10 мм и более в сторону от средней линии. Дислокация срединного эха — это всегда тревожный признак, настораживающий на возможную необходимость хирургического лечения. В диагностике черепно-мозговой травмы используют также электроэнцефалографию. Для выявления оболочечных гематом проводят церебральную ангиографию.
Наиболее информативным методом является компьютерная рентгеновская томография, позволяющая получать полное представление о нарушениях анатомо-топографических соотношений в полости черепа. С ее помощью по изменению плотности тканей удается устанавливать расположение ушибов мозга, их характер и степень, оболочечные и внутримозговые гематомы и гигромы, субарахноидальные и внутрижелудочковые кровоизлияния, отек мозга, а также расширение или, напротив, сдавление желудочковой системы и цистерн основания мозга. Аналогичную диагностическую роль играет и магнитно-резонансная томография (рис. 3).
Лечение. Характер лечебных мероприятий определяется тяжестью и видом черепно-мозговой травмы , выраженностью отека головного мозга и гипертензии внутричерепной, нарушений мозгового кровообращения, ликвороциркуляции, метаболизма мозга и его функциональной активности, а также сопутствующими осложнениями и вегетовисцеральными реакциями, возрастом пострадавшего, преморбидными и другими факторами.
При сотрясении мозга проводят консервативное лечение: назначают анальгетики, седативные и снотворные средства, в течение 3—7 сут. рекомендуется постельный режим. При ушибах мозга легкой и средней степени наряду с этим проводят умеренную дегидратационную терапию (фуросемид, диакарб и др.), назначают противосудорожные средства (фенобарбитал, бензонал, пантогам и др.), гипосенсибилизирующие препараты (димедрол, супрастин, тавегил и др.). При субарахноидальном кровоизлиянии показана гемостатическая терапия (глюконат или хлорид кальция, этамзилат, аскорутин и др.). Длительность постельного режима при ушибе легкой степени составляет 7—10 сут., при ушибе средней степени до 2 нед. в зависимости от клинического течения и результатов инструментальных исследований.
Люмбальную пункцию с лечебно-диагностической целью производят только при отсутствии признаков сдавления и дислокации головного мозга.
При открытой черепно-мозговой травме и развитии инфекционно-воспалительных осложнений назначают антибиотики, хорошо проникающие через гематоэнцефалический барьер (полусинтетические аналоги пенициллина, цефалоспорины, левомицетин, аминогликозиды и др.). Рвано-ушибленные раны мягких покровов черепа требуют первичной хирургической обработки и обязательной профилактики столбняка (вводят столбнячный анатоксин, противостолбнячную сыворотку).
Сдавление мозга при эпидуральной, субдуральной или внутримозговой гематоме, субдуральной гигроме, а также вдавленные переломы костей черепа являются показаниями для оперативного вмешательства — костно-пластической или декомпрессивной трепанации черепа и удаления сдавливающего мозг субстрата.
Реанимационные мероприятия при тяжелой черепно-мозговой травме (очаги размозжения, диффузное аксональное повреждение) начинают на догоспитальном этапе и продолжают в условиях стационара. С целью нормализации дыхания обеспечивают свободную проходимость верхних дыхательных путей (освобождение их от крови, слизи, рвотных масс, введение воздуховода, интубация трахеи, трахеостомия), используют ингаляцию кислородно-воздушной смеси, а при необходимости проводят искусственную вентиляцию легких.
В случаях психомоторного возбуждения, судорожных реакций применяют седативные и противосудорожные препараты (сибазон, барбитураты и др.). При шоке необходимо устранение болевых реакций, восполнение дефицита объема циркулирующей крови и др. (см. Травматический шок). Проведение лечебно-диагностических манипуляций, в том числе больным, находящимся в коме, следует осуществлять в условиях блокады болевых реакций, поскольку они вызывают увеличение объемного кровотока и внутричерепного давления.
Пострадавших с тяжелой черепно-мозговой травмой , сопровождающейся расстройством сознания, нарастанием очаговой и общемозговой неврологической симптоматики, нарушениями жизненно важных функций, госпитализируют в отделения реанимации и интенсивной терапии. В стационаре продолжают мероприятия но нормализации газообмена, гемодинамики, обменных процессов и применяют специальные методы предупреждения и лечения отека мозга, внутричерепной гипертензии, нарушений мозгового кровообращения, ликвороциркуляции и метаболизма, средства и методы защиты мозга от ишемии и гипоксии.
Для лечения отека мозга и внутричерепной гипертензии используют салуретики, осмотические и коллоидно-осмотические препараты, искусственную вентиляцию легких в режиме гипервентиляции и др. Салуретики (фуросемид в дозе 0,5—1 мг/кг в сут.) назначают в первые сутки после травмы (одновременно для предупреждения гипокалиемии вводят панангин, оротат или хлорид калия). При развитии клинической картины нарастающей внутричерепной гипертензии, дислокации и сдавления мозга вследствие его отека применяют осмотические диуретики (маннит, глицерин) в дозе 0,25—1 г/кг. Повторное или длительное применение салуретиков и осмотических диуретиков возможно в условиях тщательного контроля за состоянием водно-электролитного баланса. Для улучшения венозного оттока из полости черепа и уменьшения внутричерепного давления целесообразно укладывать больного в положение с приподнятой головой.
В тех случаях, когда указанные выше методы не устраняют внутричерепную гипертензию, стойких судорожных и тяжелых вегетовисцеральных реакций, а результаты клинико-инструментальных исследований позволяют исключить наличие внутричерепных гематом, в реанимационных палатах специализированных стационаров используют барбитураты или оксибутират натрия на фоне искусственной вентиляции легких при тщательном контроле внутричерепного и артериального давления. В качестве одного из методов лечения внутричерепной гипертензии и отека мозга применяют дозированное отведение цереброспинальной жидкости с помощью катетеризации боковых желудочков мозга.
При тяжелых ушибах и размозжениях мозга с выраженным его отеком используют антиферментные препараты — ингибиторы протеаз (контрикал, гордокс и др.). Целесообразно также применение ингибиторов перекисного окисления липидов-антиоксидантов (токоферола ацетат и др.). При тяжелой и среднетяжелой черепно-мозговой травме по показаниям применяют вазоактивные препараты — эуфиллин, кавинтон, сермион и др. Интенсивная терапия включает также поддержание обменных процессов с использованием энтерального (зондового) и парентерального питания, коррекцию нарушений кислотно-щелочного и водно-электролитного баланса, нормализацию осмотического и коллоидного давления, системы гемостаза, микроциркуляции, терморегуляции, профилактику и лечение воспалительных и трофических осложнений. С целью нормализации и восстановления функциональной активности мозга назначают ноотропные препараты (пирацетам, аминалон, пиридитал и др.), средства, нормализующие обмен нейромедиаторов (галантамин, леводопа, наком, мадопар и др.).
Мероприятия по уходу за больными с черепно-мозговой травмой включают профилактику пролежней гипостатической пневмонии (частое поворачивание больного, банки, массаж, туалет кожи и др.), пассивную гимнастику для предупреждения формирования контрактур в суставах паретичных конечностей. У больных в состояния сопора или комы, с нарушением глотания, снижением кашлевого рефлекса необходимо следить за проходимостью дыхательных путей и с помощью отсоса освобождать полость рта от слюны или слизи, а при интубации трахеи или трахеостомии санировать просвет трахеобронхиального дерева. Осуществляют контроль за физиологическими отравлениями. Принимают меры для защиты роговицы от высыхания (закапывание в глаза вазелинового масла, смыкание век с помощью лейкопластыря и т.д.). Регулярно проводят туалет полости рта.
Перенесшие Ч.-м. т подлежат длительному диспансерному наблюдению. По показаниям проводят восстановительное лечение. Наряду с методами лечебной физкультуры, физиотерапии и трудовой терапии применяют метаболические (пирацетам, аминалон, пиридитол и др.), вазоактивные (кавинтон, сермион, циннаризин и др.), противосудорожные (фенобарбитал, бензонал, дифенин, пантогам и др.), витаминные (B1, В6, В15, С, Е и др.) и рассасывающие (алоэ, стекловидное тело, ФиБС, лидаза и др.) препараты.
С целью предупреждения эпилептических припадков, часто развивающихся у больных после Ч.-м т., назначают препараты, содержащие фенобарбитал (паглюферал-1, 2, 3, глюферал и др.). Показан их длительный (в течение 1—2 лет) однократный прием на ночь. Терапию подбирают индивидуально с учетом характера и частоты эпилептических пароксизмов, их динамики возраста, преморбида и общего состояния больного. Используют различные комбинации противосудорожных и седативных средств, а также транквилизаторов.
Для нормализации общего функционального состояния ц.н.с. компенсации нарушенных мозговых функций после операций по поводу черепно-мозговой травмы и ускорения темпа выздоровления применяют вазоактивные (кавинтон, сермион, циннаризин, ксантинола никотинат и др.) и ноотропные (пирацетам, пиридитал, аминалон и др.) препараты, которые следует сочетать, назначая их чередующимися двухмесячными курсами (с интервалами 1—2 мес.) на протяжении 2—3 лет. Эту базисную терапию (особенно для профилактики и лечения посттравматических и постоперационных спаечных процессов) целесообразно дополнять средствами, влияющими на тканевой обмен; аминокислотами (церебролизин, глутаминовая кислота и др.), биогенными стимуляторами (алоэ, стекловидное тело и др.), ферментами (лидаза, лекозим и др.). По показаниям в амбулаторных условиях осуществляют также лечение различных синдромов послеоперационного периода — общемозговых (внутричерепной гипертензии или гипотензии, цефальгического. вестибулярного, астенического, гипоталамического и др.) и очаговых (пирамидного, мозжечкового, подкоркового, афазии и др.). При нарушениях психики к наблюдению и лечению больных обязательно привлекают психиатра. У лиц пожилого и старческого возраста, оперированных в связи с черепно-мозговой травмой целесообразно усиление противосклеротической терапии.
Острые психозы с помрачением сознания, серии судорожных припадков, состояния психомоторного возбуждения купируются парентеральным введением сибазона либо нейролептиков преимущественно седативного действия (аминазин). При эндоформных психозах показаны нейролептики преимущественно антипсихотического действия (трифтазин, галоперидол и др.). Средствами выбора при эмоционально-долевых расстройствах отдаленного периода являются перициазин, антидепрессанты, карбамазепин.
В период реабилитации проводят психотерапию, устраняют конфликтные переживания, регулируют межличностные отношения, решают вопросы профессионального обучения и трудового устройства. Все это является главным условием предупреждения психогенных расстройств и социальной деформации личности.
Прогноз при легкой черепно-мозговой травме (сотрясение, ушиб мозга легкой степени) обычно благоприятный (при условии соблюдения рекомендованного пострадавшему режима и лечения).
При среднетяжелой травме (ушиб мозга средней степени) часто удается добиться полного восстановления трудовой и социальной активности пострадавших. У ряда больных развиваются лептоменингит и гидроцефалия, обусловливающие астенизацию, головные боли, вегетососудистую дисфункцию, нарушения статики, координации и другую неврологическую симптоматику.
При тяжелой травме (ушиб мозга тяжелой степени, диффузное аксональное повреждение, сдавление мозга) смертность достигает 30—50%. Среди выживших значительна инвалидизация, ведущими причинами которой являются психические расстройства, эпилептические припадки, грубые двигательные и речевые нарушения. При открытой черепно-мозговой травме могут возникать воспалительные осложнения (менингит, энцефалит, вентрикулит, абсцессы мозга), а также ликворея.
Судебно-медицинская экспертиза. Главной задачей судебно-медицинской экспертизы при черепно-мозговой травме является установление тяжести телесных повреждений, причиненных пострадавшему. Заключение должно основываться на аргументированном диагнозе клинических форм черепно-мозговой травмы с использованием следующих экспертных критериев: опасность для жизни в момент причинения травмы; длительность расстройства здоровья; степень стойкости утраты трудоспособности.
Сотрясение головного мозга относится к легким телесным повреждениям и влечет за собой обычно кратковременное расстройство здоровья на период до 3 нед.
Ушиб головного мозга легкой степени тяжести относится к менее тяжким телесным повреждениям: обычно расстройство здоровья наступает на срок более 3 нед. либо имеется стойкая утрата трудоспособности менее чем на одну треть
Ушиб головного мозга средней степени чаще относится к менее тяжким телесным повреждениям по длительности расстройства здоровья (свыше 21 сут.) или стойкой утрате трудоспособности менее чем на одну треть; реже его относят к тяжким телесным повреждениям по признаку опасности для жизни в момент причинения (при выраженности стволовой симптоматики, длительном выключении сознания, переломах основания черепа с грубыми парезами черепных нервов, ликвореей).
Ушибы головного мозга тяжелой степени (включая очаги размозжений), диффузные аксональные повреждения, сдавление головного мозга относятся к тяжким телесным повреждениям по опасности для жизни, а также длительному расстройству здоровья в совокупности со стойкой утратой трудоспособности более чем на одну треть.
Вопрос об исходах черепно-мозговой травмы при судебно-медицинской экспертизе решается не ранее чем через 3 мес. после ее получения. При оценке остаточных явлений черепно-мозговой травмы учитывают анамнез, возраст пострадавшего и другие факторы, которые могут влиять на проявление и течение травматической болезни головного мозга. Судебно-медицинская экспертиза тяжести телесных повреждений вследствие черепно-мозговой травмы обычно проводится путем освидетельствования пострадавшего с участием невропатолога.
Библиогр.: Актуальные вопросы нейротравматологии, под ред. А.Н. Коновалова, М., 1988; Григорьев М.Г. и др. Сочетанная черепно-мозговая травма, Горький, 1977; Кишковский А.Н. и Тютин Л.А. Неотложная рентгенодиагностика, М., 1989; Корниенко В.Н., Васин Н.Я. и Кузьменко В.А. Компьютерная томография в диагностике черепно-мозговой травмы, М., 1987; Лебедев В.В. и Быковников Л.Д. Руководство по неотложной нейрохирургии, М., 1987; Лебедев В.В. и др. Рентгенодиагностика травматических повреждений черепа и головного мозга, М., 1973; Маневич А.З., Потапов А.А. и Брагина Н.Н. Патофизиологические основы интенсивной терапии тяжелой черепно-мозговой травмы, Вестн. АМН СССР, № 6, с. 60, 1986; Педаченко Е. Г и Макеева Т.И. Множественные травматические внутричерепные гематомы, Киев, 1988; Руководство по нейротравматологии, под ред. А.И. Арутюнова, ч. 1, М., 1978; Руководство по психиатрии, под ред. Г.В. Морозова, т. 1, с. 610, М., 1988; Руководство по психиатрии, под ред. А В. Снежневского, т. 2, с. 109, М., 1983.


