Магнитно-резонансные томограммы при эпидуральной гематоме

Магнитно-резонансные томограммы при эпидуральной гематоме
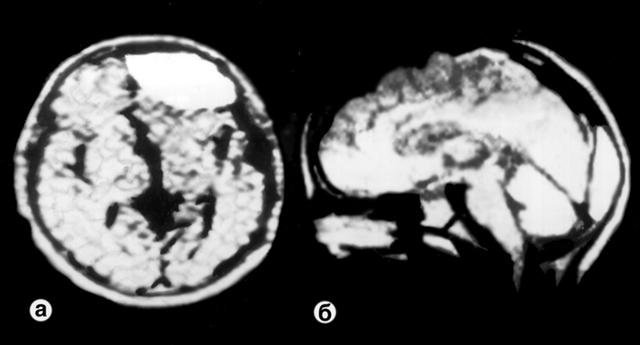
Рис. 3. Магнитно-резонансные томограммы при эпидуральной гематоме: а — в лобной доле (аксиальный срез); б — в области полюса затылочной доли (сагиттальная проекция).