Электронограмма почки при фокальном сегментарном гломерулярном гиалинозе

Электронограмма почки при фокальном сегментарном гломерулярном гиалинозе

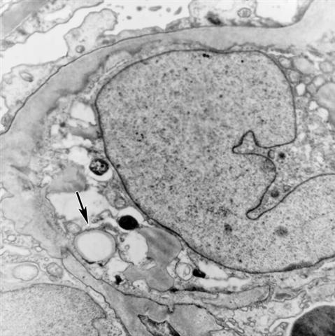
Рис. 6в). Электронограмма почки при фокальном сегментарном гломерулярном гиалинозе — в цитоплазме мезангиальных клеток содержатся липиды, указано стрелкой; ´12000.


Перейти к статье «Нефротический синдром»