Вид глаза при гнойном кератите

Вид глаза при гнойном кератите

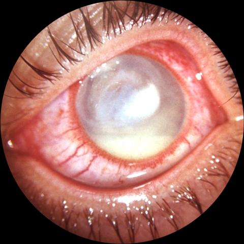
Рис. 5. Вид глаза при гнойном кератите: определяется гнойная язва желтоватого цвета, передняя камера глаза заполнена гноем.


Перейти к статье «Кератит»