Компьютерные томограммы при тяжелом ушибе левой лобной доли и диффузном аксональном повреждении мозга

Компьютерные томограммы при тяжелом ушибе левой лобной доли и диффузном аксональном повреждении мозга
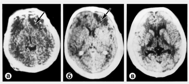
Рис. 1. Компьютерные томограммы при тяжелом ушибе левой лобной доли (а, б) и диффузном аксональном повреждении мозга (в): а — очаговое поражение мозга, проявляющееся неоднородным повышением плотности мозга (указано стрелкой); б — очаги интенсивного гомогенного повышения плотности в местах кровоизлияний в вещество мозга (крупный очаг указан стрелкой); в — отек и набухание мозга со сдавлением ликворных вместилищ и путей.