Гистологическое строение надпочечника

Гистологическое строение надпочечника
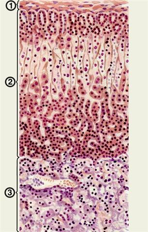
Рис. 3. Гистологическое строение надпочечника: 1 — собственная соединительнотканная капсула надпочечника; 2 — корковое вещество; 3 — мозговое вещество.